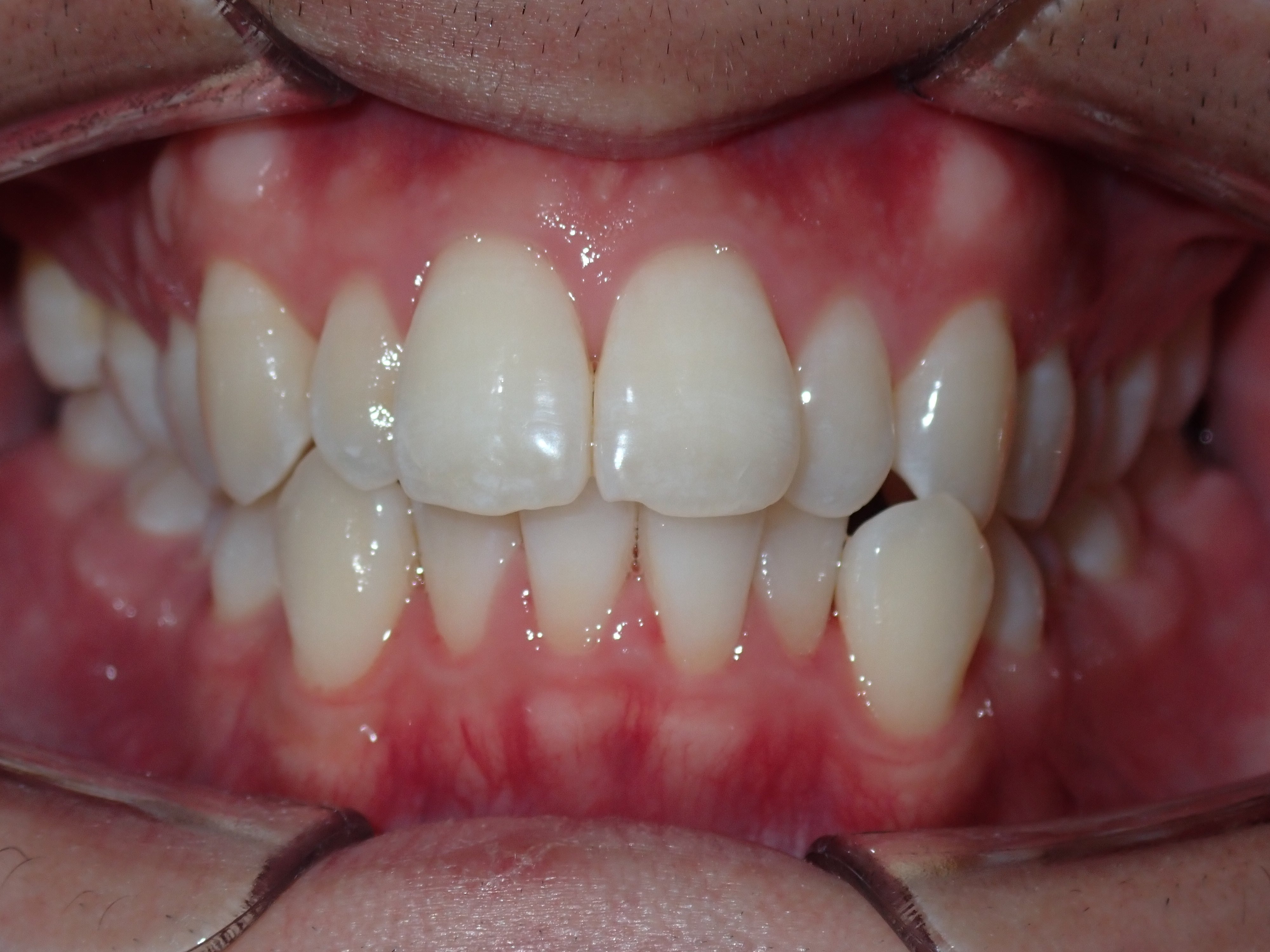
Crowding
Correct your crowded teeth with bitesoft clear aligners in just 6–12 months. From $33/ week.
Why correct crowded teeth?
Crowded teeth can make maintaining good oral hygiene difficult, as overlapping teeth create hard-to-reach areas for cleaning. Additionally, the aesthetic impact of crowded teeth can lead to self-consciousness about smiling or laughing, affecting overall confidence.


treated with bitesoft
Patient Name: Marvin
Amount: 19 upper & 19 lower aligners
Length: 9.5 month treatment
Cost: $3,780


